En el siguiente caso el Dr. del Castillo restituyó la estética de los dientes de la paciente con carillas de composite.
En el siguiente caso la paciente acudió a la consulta de CASHER DENTAL porque quería "arreglarse la boca". Le dijo al doctor que le faltaban muelas desde hacía muchos años, le sangraban las encías, le habían empastado un montón de muelas y dientes... y precisamente los empastes que le habían hecho en los dientes anteriores eran los que menos le gustaban.
Diagnóstico
El caso era complejo y largo. Primero era preciso realizar el tratamiento de las encías urgentemente porque tenía mucho sarro acumulado, lo cuál le hacía sangrar espontáneamente sus encías.
A continuación se tenían que limpiar y empastar las caries que presentaba. Y por último reponer los dientes ausentes y el tratamiento de estética dental que demandaba para sus dientes anteriores.

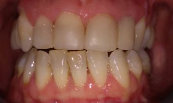
Foto 1: Dientes anteriores antes de colocar carillas de composite.
El Dr. del Castillo le explicó que era conveniente primero tratar los focos infecciosos, luego rehabilitar con implantes los dientes que le faltaban junto con el tratamiento de estética dental que tanto le preocupaba.
Tratamiento completo
La paciente entendió la necesidad de seguir el tratamiento tal y como le explicó el Dr. del Castillo pero le pidió por favor que con la mayor urgencia posible le resolviera el problema de la estética de sus incisivos.
El Dr. del Castillo le ofreció la posibildad de colocar unas carillas de composite para provisionalmente, y siempre después de haberse realizado el tratamiento de sus encías, mejorar la estética de sus dientes hasta pasar a la rehabilitación de los dientes ausentes.
La paciente aceptó y empezó el tratamientos de sus encías y de implantes con la Dra. del Castillo. En las siguientes sesiones el doctor del Castillo le fue realizando sus empastes. Mientras tanto el doctor fue analizando los dientes anteriores de la paciente en un estudio con articulador.
Los dientes que presentaba la paciente presentaban numerosos empastes antiguos(uno incluso estaba endodonciado), estaban bastante desgastados pero afortunadamente no presentaban caries. En los modelos de escayola se observó como el apiñamiento dental que presentaba la paciente había condicionado las reconstrucciones de composite que le habían realizado hacía años.
El doctor llegó a la conclusión de que para conseguir los objetivos estéticos de la paciente no sólo era necesario cambiar los antiguos empastes y poner unos de un color más bonito, sino que era necesario redistribuir el tamaño y las inclinaciones de los dientes. Esto complicaba el tratamiento he hizo que la sesión en que se realizó el tratamiento durase una mañana entera.
La paciente quedó muy satisfecha, tanto que una vez repuestos sus dientes con implante se negó a cambiar sus carillas de composite por una nuevas carillas de porcelana. Así pues un plan de tratamiento de estética dental provisional se convirtió en uno definitivo.

Foto2: Dientes anteriores con carillas de composite, final de tratamiento estético.








0 comentarios