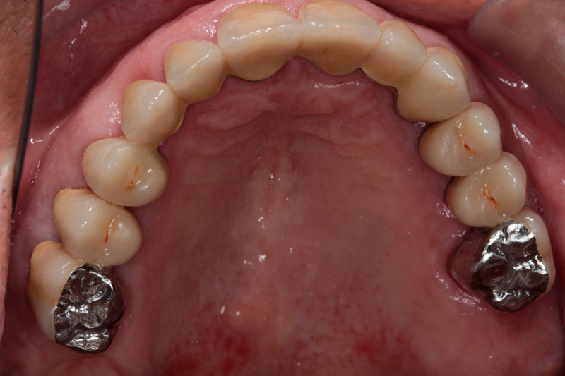
En este caso de éxito, se ve el resultado final de un trabajo de rehabilitación completa sobre dientes naturales mediante prótesis fija. Con las prótesis fijas sobre dientes naturales devolvemos la sonrisa y la calidad de vida a nuestros pacientes
¿Qué son las prótesis dentales?
Son piezas artificiales cuya función es sustituir al diente natural, pueden estar fabricadas en distintos materiales, lográndose un aspecto muy realista y recuperando la funcionalidad del diente. El objetivo de este tratamiento es reparar la pérdida o disminución de las funciones masticadora y fonatoria, y limitar el defecto estético. El paciente ha quedado muy satisfecho y contento por el resultado final.

Antes

Antes

Antes

Después

Después

Después
© Copyright 2016 - 2026 Casher Clínica Dental en Alicante







