En el siguiente caso el Dr. González resuelve de una manera sencilla una compresión maxilar severa que provocaba un serio problema de mordida y comprometía seriamente la estética de la sonrisa de la paciente.
El siguiente caso es muy frecuente en la consulta del ortodoncista. A esta niña de 7 años la trajo a la clínica dental su madre porque le preocupaba la posición de los dientes de sus hija y hacían que la sonrisa no le resultase agradable.
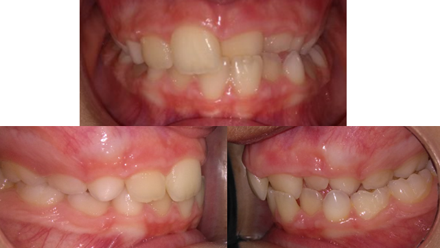
En una primera exploración clínica se observó que la paciente presentaba una mordida cruzada completa en lado izquierdo, incluyendo los dos incisivos o "paletos" izquierdos. Efectivamente la estética de la sonrisa estaba afectada, pero afortunadamente a la niña eso le daba igual y no paraba de bromear y sonreir durante la primera cita. El doctor le recomendó a la madre iniciar el tratamiento de ortodoncia, no por el problema estético, sino por el problema de crecimiento que posteriormente se explicará. Como en todos los casos se realizó un estudio cefalométrico, incluyendo modelos de estudio, radiografía panorámica y telerradiografía.
Foto 1: Inicio del tratamiento.
Tras el estudio se llegó a la conclusión de que problema que presentaba la paciente era sólamente la compresión severa del maxilar superior(lo que comúnmente se conoce como paladar estrecho). Eso era lo que provocaba la mordida cruzada y el apiñamiento severo de la arcada superior.
El Dr. González siempre recomienda empezar el tratamiento de ortodoncia en estos casos en cuanto los primeros molares superiores definitivos hayan erupcionado. El motivo es que este tipo de compresiones maxilares que se acompañan de mordida cruzada se asocian a crecimientos asimétricos de la mandíbula, que cuanto más tarden en resolverse, peor pronóstico presentan. Así se lo explicó a la madre de la paciente. Igualmente le explicó que empezando el tratamiento de ortodoncia en ese momento, se evitaría que tener que tratar el caso con extracciones de dientes definitivos en una segunda fase con brakets.
Se planificó una disyunción y brakets durante un año. La disyunción es un aparato que consigue realizar la expansión del maxilar superior o del paladar de una manera muy rápida(6 meses) y con una tasa de recaídas muy baja. Los brakets se programaron para alinear los dientes después de la expansión para mejorar su posición y estética(preocupación fundamental de la madre) y lo realmente importante, evitar que pudiesen provocar desvíos funcionales de la mandíbula que arruinasen el efecto de la disyunción.
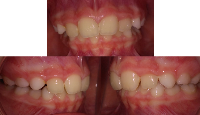
Los efectos de la disyunción fueron mucho mejor de los esperados. Tras la expansión los incisivos se colocaron espontáneamente en una posición casi perfecta. De hecho los brakets no se llegaron a colocar porque no merecía la pena colocar los dientes mejor de lo que estaban ya que no estaban generando ningún desvío funcional de la mandíbula y lo más importante, ¡¡la madre estaba encantada con el resultado en ese momento!! Así pues un tratamiento de ortodoncia que se había planificado para un año se redujo a la mitad. Lo mejor de todo es que la niña seguía sonriendo igual de contenta que el primer día.
Foto 2: Final del tratamiento.








0 comentarios