Las alteraciones en la anatomía dental suponen un problema en la estética de la sonrisa. En este caso, el Dr. del Castillo solucionó la alteración con una carilla de composite.
Alteraciones en la anatomía dental
Las alteraciones en la anatomía dental suponen un problema en la estética de la sonrisa, siendo una de las consultas más frecuentes en la clínica dental. En el sector anterior las más frecuentes se producen en los incisivos laterales. Lo más habitual es que estos dientes presenten una forma más pequeña de lo normal, por eso reciben el nombre de dientes microdónticos.
Pueden adoptar las formas más caprichosas, aunque la más frecuente es la cónica, pudiendo confundirse con la forma de un colmillo o canino. En ciertos casos se acompaña de malposición dentro de la arcada dentaria, necesitando en ese caso tratamiento de ortodoncia.
¿Aún no conoces nuestra promoción Invisalign? -50%
-> PROMOCIÓN INVISALIGN <-
Anatomía dental de nuestro paciente
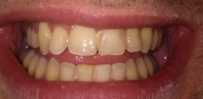
El caso que presentamos es el de un paciente que al terminar el tratamiento de ortodoncia con el Dr. Pablo González presentaba un incisivo lateral superior derecho microdóntico. El paciente estaba encantado con el resultado del tratamiento de ortodoncia en el que se le corrigió un apiñamineto severo aprovechando el espacio de algunos dientes ausentes que habían sido extraídos ya hacía unos años.
Foto 1: sonrisa inicial.
Antes y durante el tratamiento de ortodoncia no había sido consciente de la alteración que presentaba su incisivo lateral. A medida que continuaba el tratamiento con los brakets no paraba de vérselo en el espejo y le preguntó al Dr. González cómo corregirlo en una de las ocasiones que acudió a la clínica para revisión. Este le explicó que lo mejor sería esperar a la finalización del tratamiento de ortodoncia para poner alguna carilla, ya fuera de porcelana o de composite.
Foto 2: Detalle alteración de incisivo lateral superior derecho.
Un mes antes de quitar los brakets se le citó con el Dr Rafael del Castillo para que le hiciera un análisis de la sonrisa y la toma de registros para ver qué alternativa de tratamiento era la más adecuada.
Opciones para subsanar la anomalía
Se le explicó las diferencias que existen entre las carillas de porcelana y las de composite y finalmente decidió hacérsela de composite ya que le agradaba más la idea de no tener que tallar su diente (a pesar de que se le explico que el tallado para una carilla de porcelana es mínimo y que no era necesario utilizar anestesia)y porque también era más económica.
En una primera cita se retiraron los brakets y se colocaron los retenedores en la arcada inferior. En esa sesión se realizó una limpieza o tartrectomía para eliminar el sarro y desinflamar las encías, ya que el sarro y la inflamción podían comprometer la adhesión del composite a la superficie del diente.
A los pocos días el Dr. del Castillo le reconstruyó su incisivo lateral. No fue necesario anestesiar, ya que no era necesario tallar para nada el diente. En menos de una hora se le solucionó el problema estético al paciente y ya sí pudo sonreir como el quería.

Foto 3: Detalle de la carilla de composite terminada.








0 comentarios