En Clínica Dental Casher, sabemos que cada sonrisa cuenta una historia. Hoy te compartimos un caso clínico con resultados sorprendentes: una paciente que recuperó la funcionalidad, la estética y la confianza gracias a implantes dentales con sistema Locator. Este tratamiento es actualmente una de las soluciones más avanzadas y populares en 2025 para rehabilitación oral.
¿Qué son los Locators y por qué puede ser lo qué estás necesitando?
Imagina que tienes una dentadura postiza que se mueve, se suelta al hablar o comer, y te hace sentir insegura. Los Locators son una solución moderna para ese problema. Son pequeñas piezas que se colocan sobre los implantes dentales y funcionan como “broches” o “anclajes” que sujetan la prótesis removible de forma firme y segura.
Esto significa que: la prótesis no se mueve al hablar o masticar, no necesitas adhesivos ni pegamentos incómodos, puedes quitarla y ponerla fácilmente para limpiarla, Se adapta bien a tu boca, incluso si has perdido algo de hueso. Es decir, los Locators te permiten tener una dentadura cómoda, estable y estética, sin complicaciones. Es como pasar de un zapato flojo a uno hecho a medida: más confianza, más libertad.
Los locators, a diferencia de sistemas tradicionales, ofrecen
- Adaptación óptima al contorno bucal.
- Estabilidad y retención, incluso en zonas con pérdida ósea.
- Facilidad de mantenimiento por parte del paciente.
- Estética natural sin componentes visibles.
Descubre más sobre los Locators aquí
¿Qué es la pérdida ósea?
La pérdida ósea dental ocurre cuando el hueso que sostiene los dientes se va reduciendo o desapareciendo. Esto puede pasar por varias razones, como:
- Cuando se pierde un diente y no se reemplaza.
- Por enfermedades en las encías.
- Por usar prótesis que no estimulan el hueso.
- Por el paso del tiempo o problemas de salud como la osteoporosis.
El hueso necesita “trabajo” para mantenerse fuerte, como el que recibe al masticar. Si no lo recibe, el cuerpo lo reabsorbe poco a poco. Esto puede hacer que los dientes se muevan, se caigan o que el rostro cambie de forma.
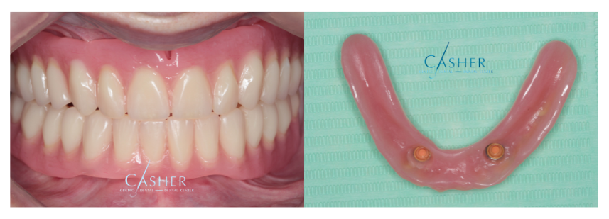
El caso clínico: paso a paso



Nuestro paciente llegó buscando una alternativa a la prótesis tradicional. Le realizamos una planificación con diagnóstico digital y colocamos dos implantes inferiores, preparados para el sistema Locator. A continuación te mostramos algunas imágenes del proceso:
- Implantes colocados en mandíbula inferior, perfectamente integrados.
- Adaptación de la prótesis superior existente.
- Prueba y ajuste del sistema Locator.
- Resultado final: prótesis inferior estable, cómoda y estética.
- El resultado no solo fue funcional: la paciente volvió a sonreír con seguridad.
Locators vs. Sobredentaduras convencionales
| Característica | Locators sobre implantes | Sobredentaduras convencionales |
|---|---|---|
| Estabilidad | Alta: se fijan a implantes con anclajes precisos | Media: se apoyan en encías, pueden moverse |
| Retención | Firme y segura gracias al sistema de encastre | Depende de la succión o adhesivos dentales |
| Comodidad al hablar/comer | Muy cómoda, no se desplaza | Puede moverse, generar inseguridad |
| Estética | Natural, sin componentes visibles | Aceptable, pero menos personalizada |
| Mantenimiento | Fácil: se retira para limpieza, sin adhesivos | Requiere adhesivos y puede acumular sarro |
| Adaptación al hueso | Ideal en casos con pérdida ósea moderada | Menos eficaz si hay reabsorción ósea |
| Durabilidad | Alta, con recambios de componentes si es necesario | Menor, puede requerir ajustes frecuentes |
| Costo | Medio-alto, pero con mejor relación calidad/vida | Más económico, pero menos funcional |
| Indicaciones | Pacientes que buscan estabilidad y estética | Alternativa económica en casos simples |
| Requiere implantes | Sí, mínimo 2 a 4 implantes | No necesariamente, puede ir sobre encías |
Lee más sobre las sobredentaduras aquí
Testimonio: “Ahora puedo hablar, comer y sonreír sin preocuparme. Los Locators me devolvieron la libertad que había perdido.”
¿Por qué elegir Locators en 2025?
- La tecnología ha mejorado los materiales y el diseño.
- Cada vez más pacientes eligen esta solución por su durabilidad y estética.
- En Clínica Dental Casher contamos con los mejores especialistas y tecnología 3D.
Potencia tu sonrisa con nosotros. ¿Estás considerando una solución como esta? Agenda tu cita hoy y descubre cómo podemos ayudarte.
Clínica Dental Casher - ALICANTE, ESPAÑA
Estamos en Av. Alfonso El Sabio, 34, 2ºA 03004 Alicante
Llamanos al 965 21 41 04 o whatsapp al 619 378 166
Nos puedes escribir a: alicante@casher.es








0 comentarios